Entre em Contato :

(44) 3056-5090

(44)9 9809-6750

|

CONTROLE DE QUALIDADE

Biópsias Cirúrgicas Complexas

Descrição

O Anátomo Patológico consiste na avaliação macro e microscópica de tecidos e células de um paciente. É um procedimento realizado por médicos especializados em Patologia Cirúrgica Geral, é necessário para o diagnóstico de doenças ou para estabelecer o estadiamento de tumores.

Com o material coletado na biópsia, é possível identificar os aspectos anátomo-patológicos do tumor e informações que determinam o perfil da doença, seu tipo histológico, grau de malignidade e prognóstico.

A biópsia complexa consiste em: análise de órgão ou parte do órgão retirados por métodos cirúrgicos.

 

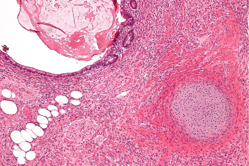
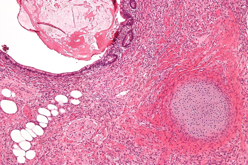
Imagem de Biópsias Cirúrgicas Complexas

Galeria de Imagens


Entre em contato conosco

Em que podemos lhe ajudar? Esclareça suas duvidas, faça um elogio ou de sugestões para mehor lhe atender.

Entrar em contato

Conheça outros procedimentos