Entre em Contato :

(44) 3056-5090

(44)9 9809-6750

|

CONTROLE DE QUALIDADE

SEJA UM LABORATÓRIO PARCEIRO

Tercerize seus exames de Biologia Molecular. Venha ser nosso parceiro. Mais tecnologia e laudos confiáveis para seu laboratório com custos acessíveis.
Fale com o Comercial

SEJA BEM-VINDO

Laboratório Santa Clara é referência em Patologia, Citologia e Biologia Molecular. Aqui você encontra qualidade certificada, tecnologia e respeito por nossos parceiros e pacientes.
Saiba mais!

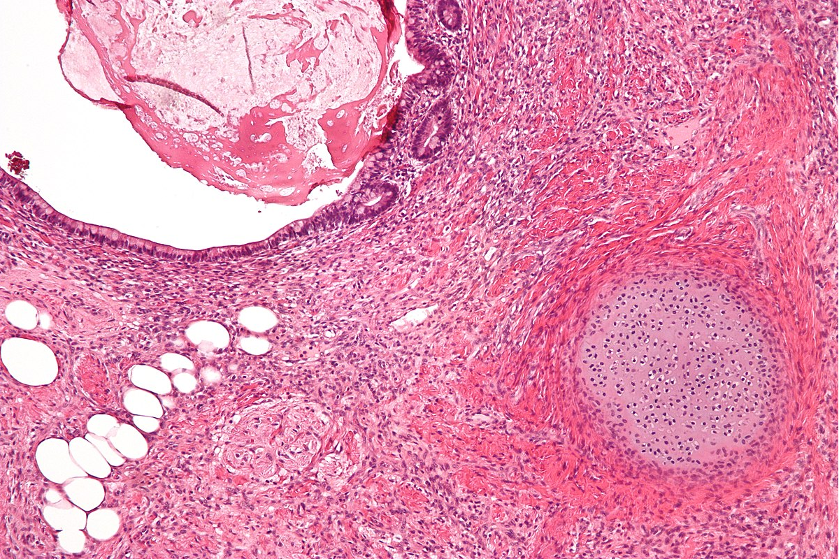
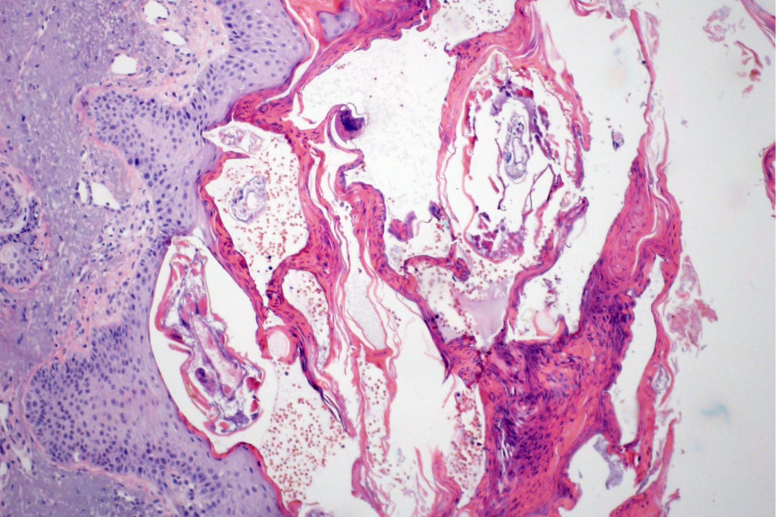
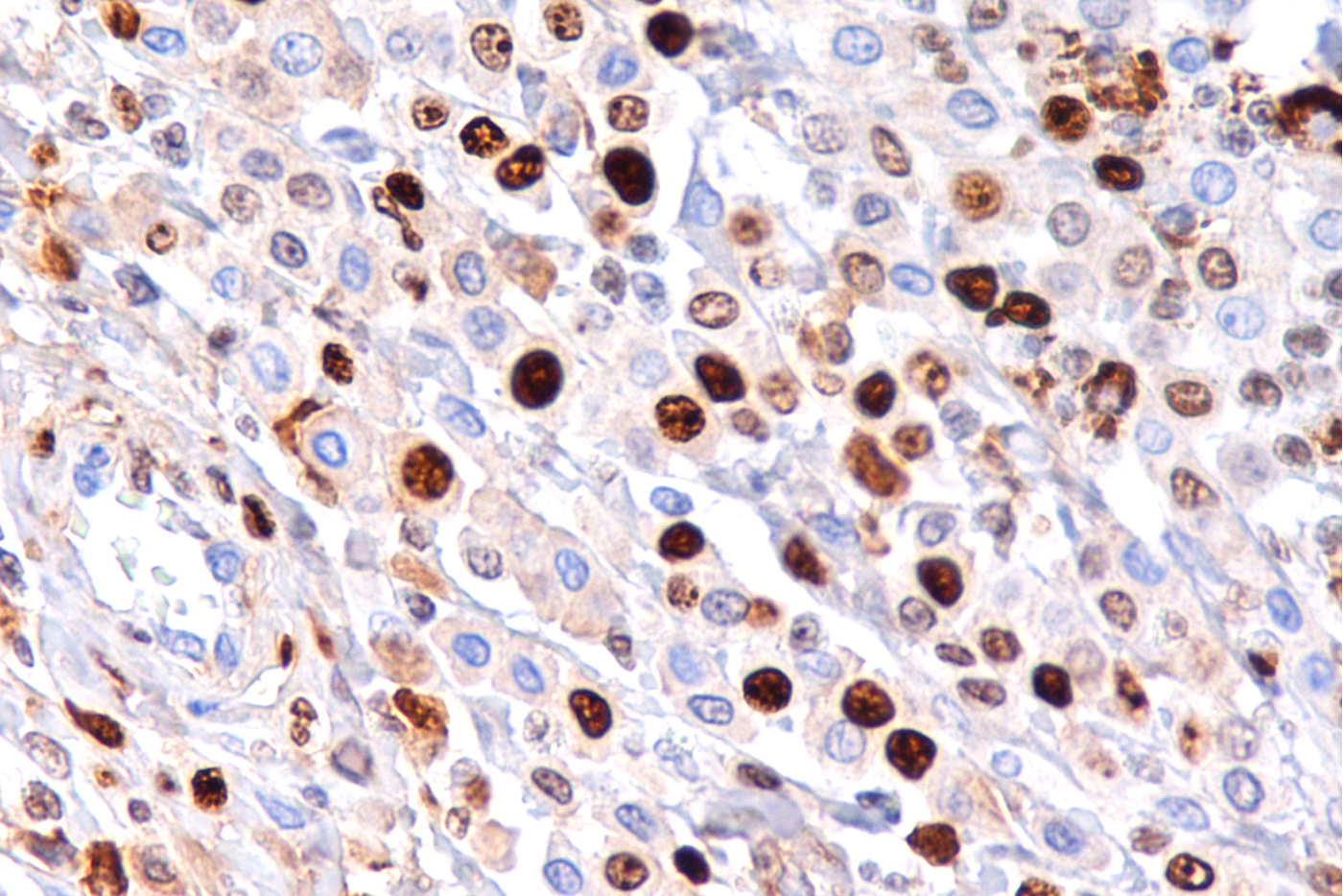
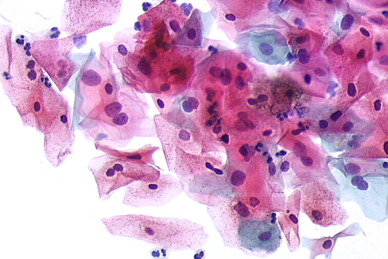
BIOLOGIA MOLECULAR

Diagnósticos avançados através da análise de DNA para detecção precoce de infecções, HPV, ISTs e alterações genéticas. Aqui tem!
Fale Conosco
Dra. Letícia Aita

Exames Realizados


Qual a importância da certificação de qualidade na Patologia

A Certificação garante aos exames qualidade, rapidez e segurança para que os resultados possam auxiliar de forma positiva e clara no tratamento dos pacientes.

Últimas do blog


Convênios


Localização

Rua Perobal, 4045. Zona I, Umuarama - PR, 87501-300